Cirugía de Rodilla en Guadalajara

¿Sufres de dolor en la rodilla?

No esperes más para recibir la atención especializada que mereces. El Dr. Artemio González Sánchez, especialista en cirugía de rodilla en Guadalajara, te ofrece tratamientos avanzados en reemplazo articular (prótesis) y mínimamente invasivos (artroscopia).

Técnicas mínimamente invasivas
Recuperación más rápida
Atención personalizada
Cirugía de Columna en Guadalajara / Dr. Artemio González Sánchez

Padecimientos de Rodilla que Tratamos

Contamos con la experiencia de tratar una amplia gama de afecciones de la rodilla.

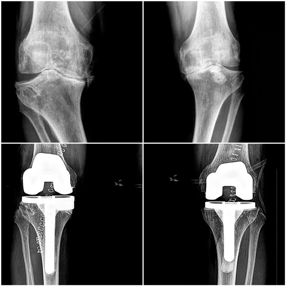
Artrosis de rodilla, o desgaste de rodilla

Es el desgaste del cartílago articular, que provoca dolor e inflamación, así como deformidad de rodillas y que impide caminar correctamente.

Procedimientos: Existen varios tratamientos que consisten en manejo con medicamentos, e infiltraciones además de limpieza articular por artroscopia. Y como última opción de tratamiento es el reemplazo articular que consiste en la colocación de una prótesis total de rodilla.

Lesión de ligamento cruzado anterior (LCA)

Consiste en la ruptura total de uno de los ligamentos más importantes de la rodilla que le da estabilidad y que se presenta principalmente en personas que practican un deporte con las piernas. Es una lesión muy frecuente.

Procedimientos: Reconstrucción del LCA mediante artroscopia.

Lesión de menisco

Las lesiones de menisco son muy frecuentes en toda la gente que practica alguna actividad física, deportiva o laboral. Ya que se producen al someter algún esfuerzo físico importante o traumatismo de la rodilla. Ya que se encuentran como amortiguadores en la articulación.

Procedimientos: Artroscopia para reparación y sutura de meniscos.

Condromalacia rotuliana

Reblandecimiento o desgaste del cartílago de la superficie articular de la rótula o patela. Lo cual provoca dolor intenso e inflamación en la parte anterior de la rodilla que provoca limitación para flexionar, extender y mover la articulación de la rodilla.

Procedimientos: Artroscopia para limpieza articular y estabilizar el cartílago articular afectado.

Luxación de rótula / inestabilidad patelofemoral

La rótula se desplaza o se luxa hacia la parte lateral de la rodilla, fuera de su posición habitual, causando dolor intenso e inestabilidad….

Procedimientos: Realineación quirúrgica o estabilización de la rótula con artroscopia.

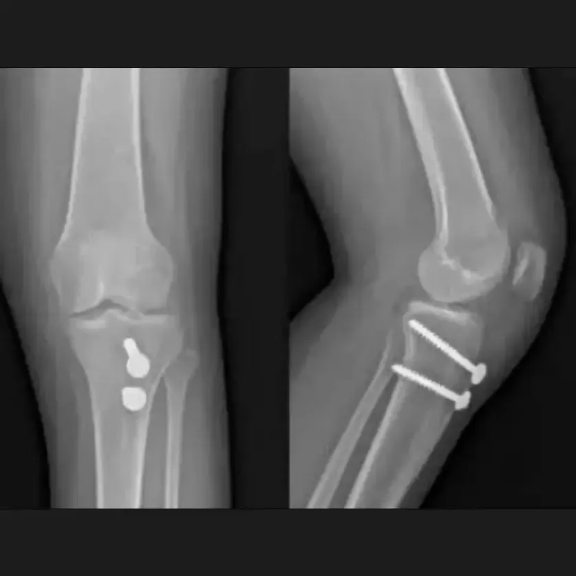
Fracturas intraarticulares de rodilla

Fracturas que comprometen la articulación de la rodilla, como fémur distal, tibia proximal o rótula.

Procedimientos: Fijación con placas, tornillos o reemplazo articular.

Plica sinovial dolorosa (síndrome de plica)

Inflamación o engrosamiento de un pliegue sinovial que causa fricción en la rodilla, y provoca dolor intenso e incapacitante que limita caminar correctamente.

Procedimientos: Resección artroscópica

Dr. Artemio González Sánchez

Especialista en rodilla

Soy egresado de la Universidad de Guadalajara donde estudié la carrera de Medicina y donde también realicé la especialidad en Ortopedia y Traumatología (En el año 2005).

Realicé un fellowship en Medicina Deportiva, Artroscopia y Reemplazo articular de rodilla en el Cornerstone Regional Hospital en McAllen, Texas, USA.

Actualmente soy médico adscrito en el centro médico nacional de occidente IMSS. En el módulo de rodilla donde atiendo pacientes con alto grado de complejidad de sus padecimientos (grandes deformidades, obesidad, enfermedades inflamatorias, complicaciones de cirugía) de todo el occidente de México.

Atiendo pacientes desde el año 2001 (24 años) cuando inicie mi especialidad en ortopedia y traumatología en la Universidad de Guadalajara.

Desde entonces, he mantenido una formación continua a través de cursos especializados impartidos tanto en México como en el extranjero Estados Unidos, España, Colombia y Polonia.
Participo regularmente en Congresos Nacionales e Internacionales para mantenerme actualizado en mi campo (Femecot, Amecra, AO Spine, AAOS, NASS, LESS Invasiva). Actualmente soy miembro activo de diversas sociedades académicas y colegios médicos en México.

Formación

Universidad de Guadalajara

Especialidad

Ortopedia y Traumatología

Casos de Éxito

Pacientes Recuperados

Conoce las experiencias de nuestros pacientes satisfechos y sus historias de recuperación.

Thumbnail
Thumbnail
Thumbnail

Nuestros Tratamientos Avanzados

Ofrecemos tratamientos quirúrgicos avanzados y mínimamente invasivos para las afecciones de la rodilla.

Reemplazo total de rodilla

Reemplazo total de rodilla (artroplastia total) prótesis total

Descripción: Sustitución de la articulación de la rodilla por una prótesis de componentes metálicos en fémur y tibia y un inserto tibial de polietileno de ultra alta densidad.

Indicado para:

  • Artrosis severa, desgaste importante del cartílago, artritis reumatoide, artrosis post traumática.
Reconstrucción del ligamento cruzado anterior

Reconstrucción del ligamento cruzado anterior (LCA)

Descripción: Sustitución del LCA roto por un injerto (autoinjerto o aloinjerto).

Indicado para:

  • Lesión de LCA con inestabilidad articular y limitación funcional de rodilla.
Reparación de menisco

Reparación de menisco

Descripción: Reparación del menisco o remoción del fragmento dañado por artroscopia y uso de suturas bioabsorbibles.

Indicado para:

  • Lesiones meniscales sintomáticas.
Artroscopia diagnóstica o terapéutica

Artroscopia diagnóstica o terapéutica

Descripción: Cirugía mínimamente invasiva para explorar o tratar la articulación.

Indicado para:

  • Lesiones de cartílago, cuerpos libres, plica sinovial, menisco.
Realineación rotuliana / liberación lateral

Realineación rotuliana / liberación lateral

Descripción: Corrección del seguimiento anormal de la rótula.

Indicado para:

  • Inestabilidad patelofemoral o luxación recurrente.
Osteotomía tibial o femoral

Osteotomía tibial o femoral por deformidad en pacientes jóvenes

Descripción: Corte del hueso para corregir el eje de carga de la pierna.

Indicado para:

  • Artrosis localizada en pacientes jóvenes.
Sinovectomía

Sinovectomía por enfermedad inflamatoria de rodilla

Descripción: Resección del tejido sinovial inflamado.

Indicado para:

  • Artritis inflamatoria (como artritis reumatoide).
Fijación de fracturas de rodilla

Fijación de fracturas de rodilla

Descripción: Reparación quirúrgica de fracturas con placas y tornillos.

Indicado para:

  • Fracturas de rótula, fémur distal o tibia proximal.
Dr. Artemio González Sanchez / Cirugía de Rodilla / Endoscopia de Rodilla

Preguntas Frecuentes sobre tu Cirugía

Respuestas a tus preguntas más comunes sobre la cirugía de rodilla:

Preguntas sobre la cirugía:

Preguntas sobre el postoperatorio

Preguntas sobre recuperación:

Preguntas sobre el especialista:

Da el Primer Paso Hacia tu Recuperación

¡Tu Salud Merece la Mejor Atención!

Agenda tu consulta y da el primer paso para vivir sin dolor.

Agenda tu Consulta Ahora

Reservar Cita en Doctoralia

Horario de atención: Lunes a sábado

© 2025 Dr. Alfonso Espinosa Sánchez. Todos los derechos reservados.

Desarrollado por WEB 365